Дорогие пациенты! Поздравляем Вас с наступающими праздниками и ждем в гости 🎄

Бессонов Виктор Борисович

врачебный стаж с 2010 года
более 2 850 пациентов
Врач стоматолог-ортопед, гнатолог, cпециалист по эстетическому протезированиию, комплексной реабилитации и работе с проблемами ВНЧС, заведующий ортопедическим отделением
записаться на консультацию
Чем поможет доктор:
  • Диагностика и лечение дисфункции ВНЧС и миофасциального синдрома у пациентов стоматологического приёма
  • Малоинвазивный подход к тотальной реконструкции окклюзии
  • Компьютерная томография зубов и суставов
  • Виртуальное планирование лечения
  • Диагностические модели
  • Артикулятор
  • Ведение фотопротокола
  • Работа с лицевой дугой
  • Все виды съёмного протезирования
  • Микропротезирование (вкладки/виниры)
  • Протезирование на имплантах различного уровня сложности, в том числе эстетический протокол
  • Диагностика и лечение патологической стираемости зубов
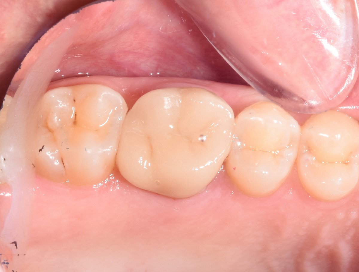
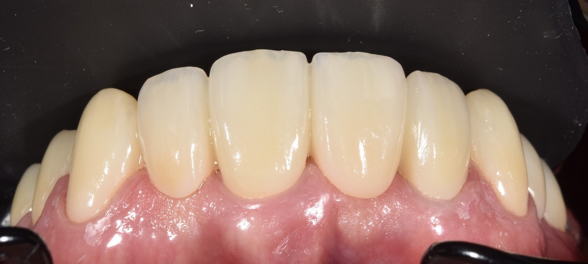
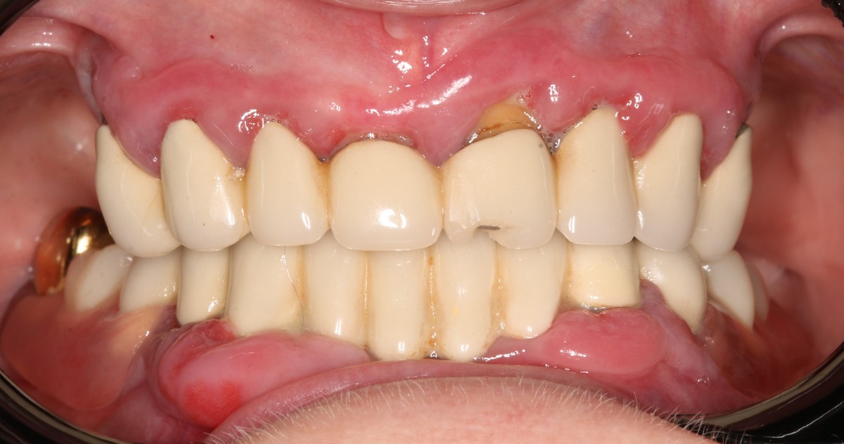
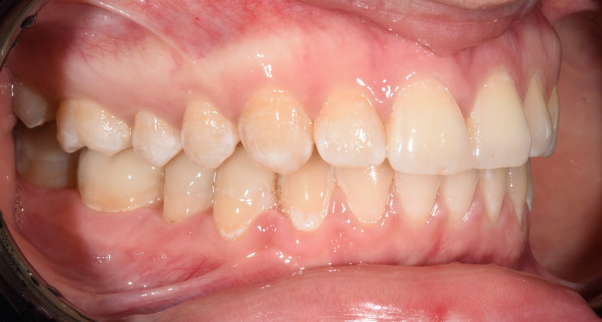
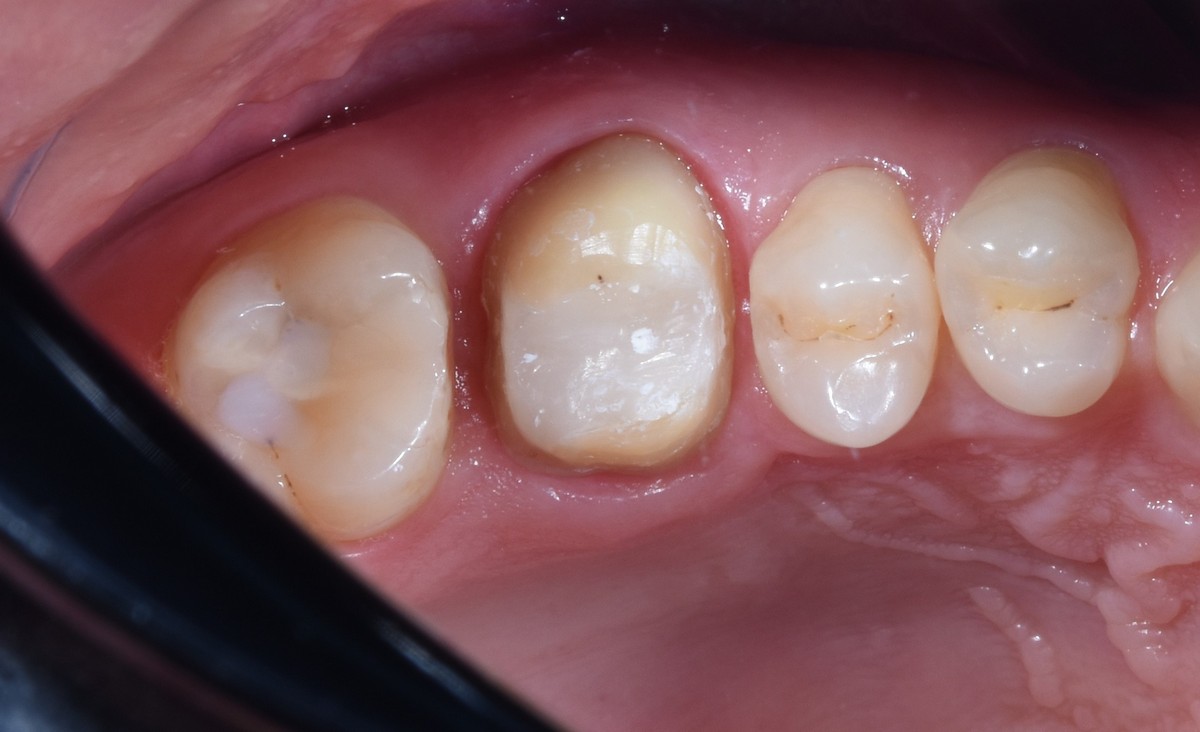
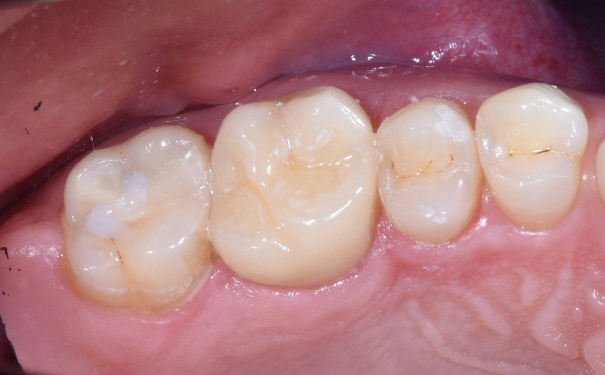
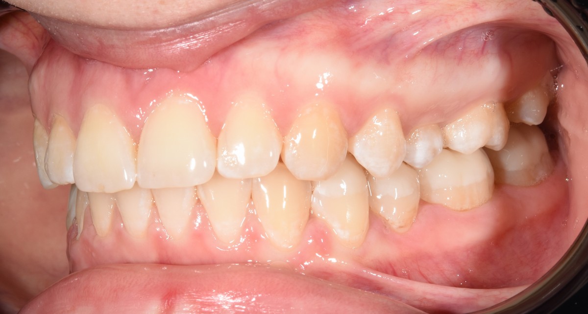
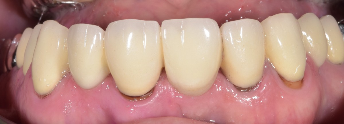
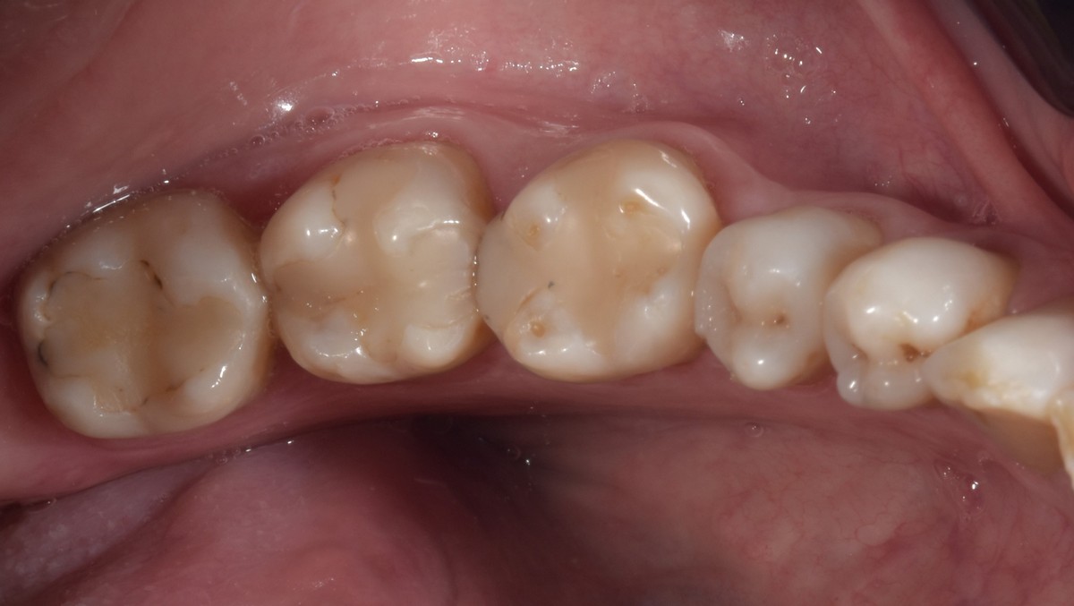
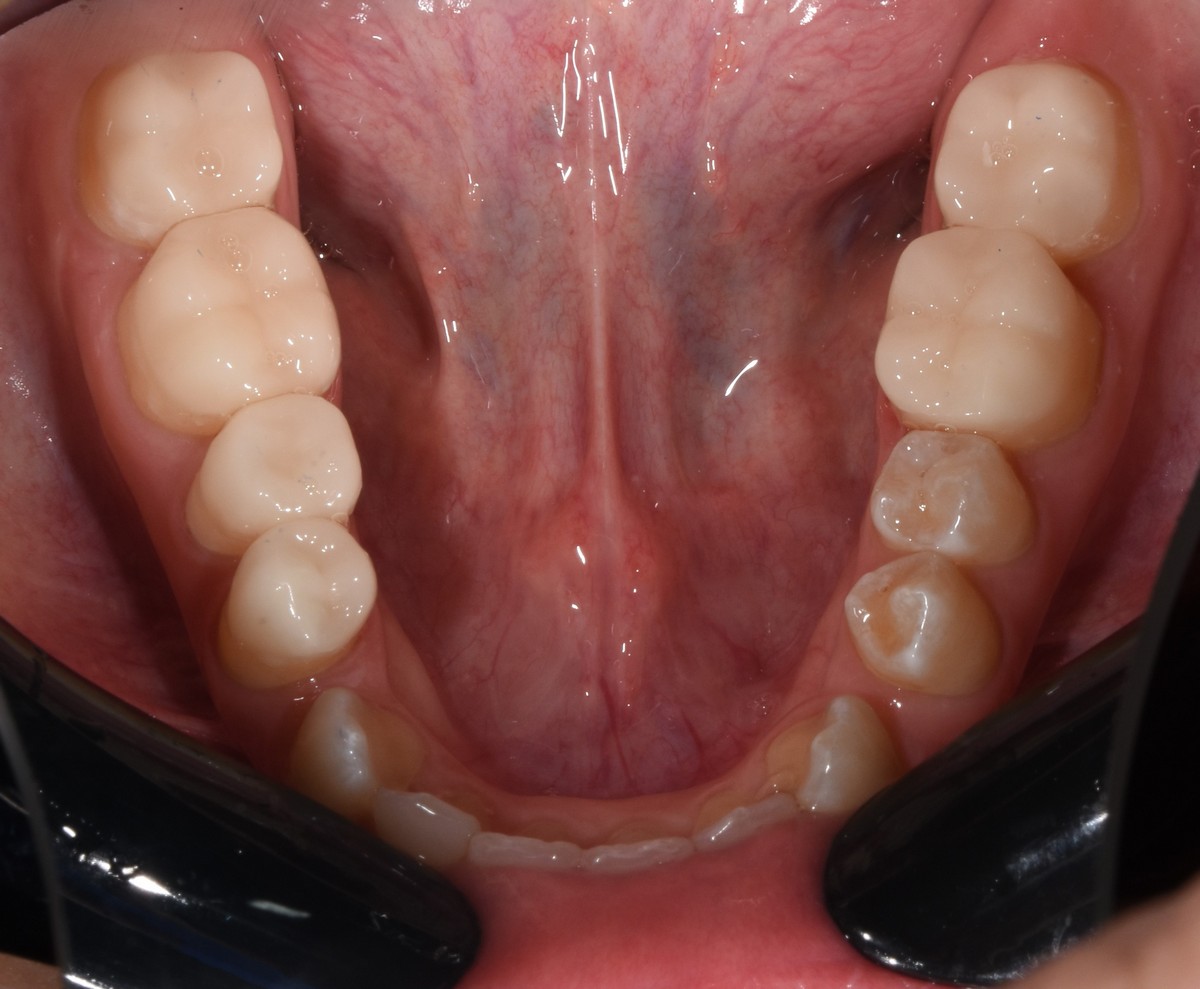
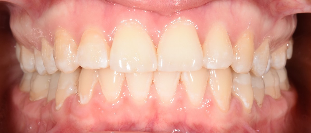
Работы врача