Дорогие пациенты! Поздравляем Вас с наступающими праздниками и ждем в гости 🎄

Ланцева Александра Витальевна

врачебный стаж с 2016 года
более 2 850 пациентов
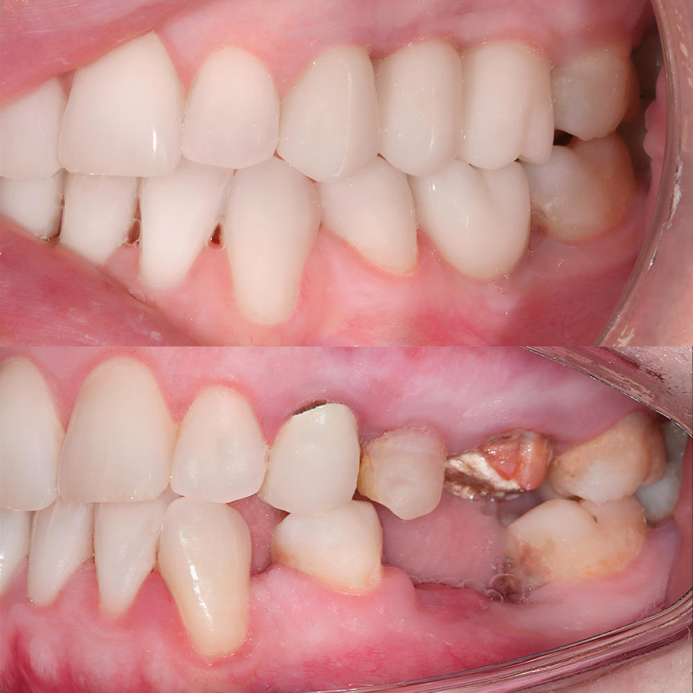
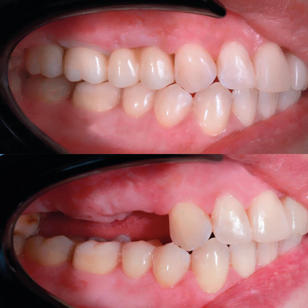
Врач стоматолог-ортопед, специалист по эстетической и функциональной реабилитации
бесплатная консультация
Чем поможет доктор:
  • Индивидуальный подход к каждому пациенту
  • Точная постановка диагноза
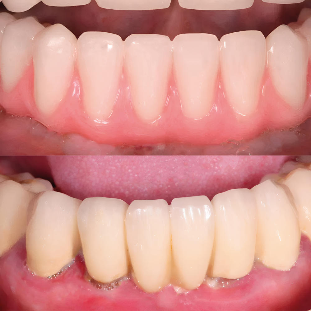
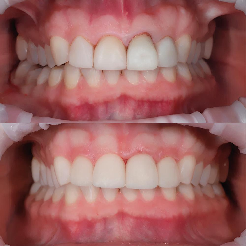
  • Улучшение качества жизни пациентов (жевание, эстетическая сторона)
  • Комплексный подход к лечению
  • Новые методики лечения и ведения пациентов
  • Проведение фотопротокола
  • Чтение КлКТ, ОПТГ, визиография
  • Артикулятор
  • Ортопедический прием в полном объеме
  • Составление комплексного плана лечения на основании данных КЛКТ
  • Эстетическая реставрация безметалловыми конструкциями
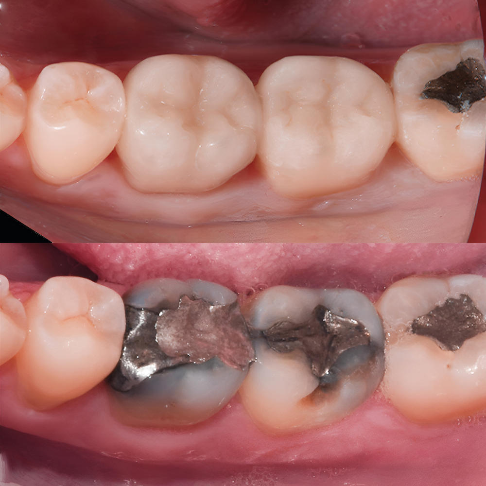
  • Микропротезирование зубов с использованием вкладок, штифтовых конструкций
  • Работа с лицевой дугой SAM
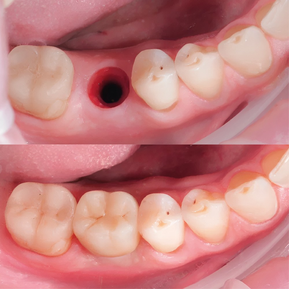
  • Работа на имплантатах системы Astra Tech, Ankylos, Nobel, Xive,Straumann (винтовая и цементная фиксации)
  • Протезирование пациентов с частичным и полным отсутствием зубов
  • Владение новыми современными протоколами в стоматологии
  • Работа в команде со смежными специалистами
Дипломы и сертификаты