2007г. – Окончила «Московский Государственный Медико-Стоматологический Университет имени А.И. Евдокимова». Присуждена квалификация «Врач стоматолог» по специальности «Стоматология». г. Москва
2008г. – Окончила интернатура по специальности «Стоматология общей практики» «Московский Государственный Медико-Стоматологический Университет имени А.И. Евдокимова», г. Москва
2008г. – Сертификат специалиста «Стоматология общей практики» выдан «Московский Государственный Медико-Стоматологический Университет имени А.И. Евдокимова», г. Москва. Сертификат действителен 5 лет
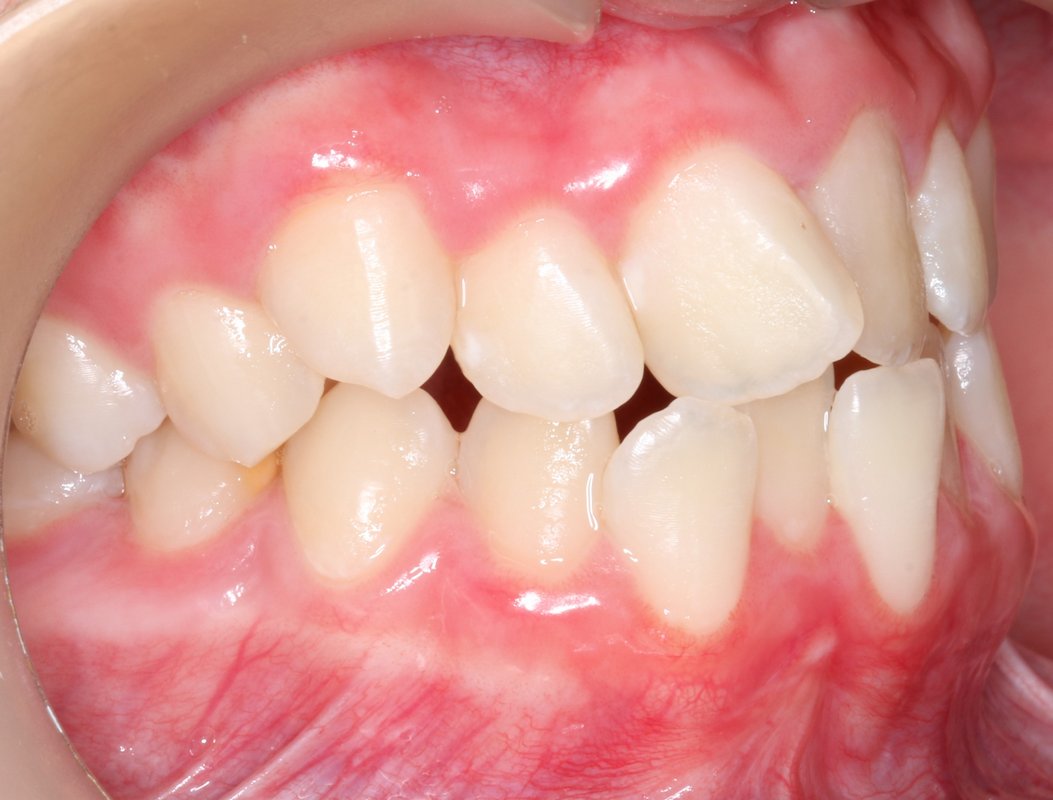
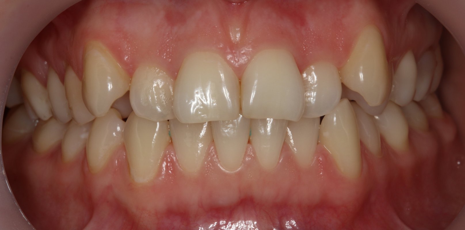
2010г. – Окончила ординатуру по специальности «Ортодонтия» «Центральный научно-исследовательский институт стоматологии и челюстно-лицевой хирургии», г. Москва
2010г. – Сертификат специалиста «Ортодонтия» выдан «Центральный научно-исследовательский институт стоматологии и челюстно-лицевой хирургии», г. Москва. Сертификат действителен 5 лет
2015г. – Удостоверение о повышении квалификации и сертификат специалиста «Ортодонтия» выдан ФГБОУ ДПО «Российская медицинская академия непрерывного профессионального образования» МЗ РФ г. Москва. Сертификат действителен 5 лет
2020г. – Удостоверение о повышении квалификации и сертификат специалиста «Ортодонтия» выдан ООО Многопрофильный Учебный Центр Дополнительного профессионального образования «Образовательный стандарт», г. Москва. Сертификат действителен 5 лет
2024г. – Удостоверение о повышении квалификации «Актуальные вопросы ортодонтии», выдано ООО "Международная научно-исследовательская академия", г.Москва.
2025г. – Периодическая аккредитация по специальности «Ортодонтия» «ФГБОУ ДПО "Российская медицинская академия непрерывного профессионального образования" МЗ РФ", г.Москва. Аккредитация действительна 5 лет