2019г. – Окончила ФГБОУ ВО «Московский государственный медико-стоматологический университет имени А.И. Евдокимова» Министерства здравоохранения Российской Федерации г. Москва. Диплом по специальности «Стоматология»
2019г. – Свидетельство об аккредитации специалиста «Стоматология общей практики» ФГБОУ ВО «Московский государственный медико-стоматологический университет имени А.И. Евдокимова» Министерства здравоохранения Российской Федерации г. Москва. Аккредитация действительна 5 лет.
2020г. – Окончила ординатуру по специальности «Стоматология терапевтическая» ФГБОУ ВО «Московский государственный медико-стоматологический университет имени А.И. Евдокимова» Министерства здравоохранения Российской Федерации г. Москва.
2021г. – Первичная аккредитация специалиста по специальности «Стоматология терапевтическая». Федеральное государственное бюджетное образовательное учреждение высшего образования "Московский государственный медико-стоматологический университет имени А. И. Евдокимова" Министерства здравоохранения Российской Федерации. Аккредитация действительна 5 лет.
2024г. – Удостоверение о повышении квалификации по профессиональной программе «Стоматология общей практики» ООО «Межрегиональный Центр Переподготовки Медицинских Кадров» г. Пенза
2024г. – Аккредитация специалиста по специальности «Стоматология общей практики». Федеральное государственное бюджетное образовательное учреждение дополнительного профессионального образования «Российская медицинская академия непрерывного профессионального образования» Министерства здравоохранения Российской Федерации. Аккредитация действительна 5 лет.
2019г. — курсы Dental Practise: «Лечение кариеса и реставрации»
2020г. — курс: «Качество десневых трансплантатов»
2020г. — курс: «Взаимосвязь заболеваний пародонта и общей соматической патологии»
2020г. — курс «10 ошибок юного пародонтолога»
2020г. — онлайн конференция: «Национальная школа пародонтологии»
2022г. — Simko Academy Вестибулопластика. Френулопластика губ. Френулопластика языка
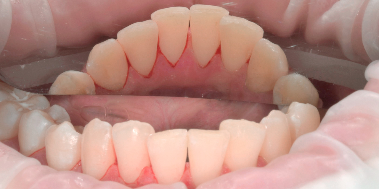
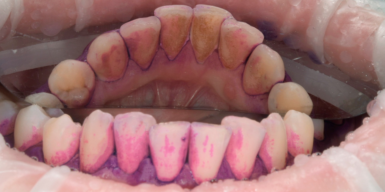
Проведена индикация налета (для лучшей визуализации мягкого налета). Далее проведена профессиональная гигиена по протоколу gbt (air flow, ультразвук, полировка). И даны рекомендации и коррекция индивидуальной гигиены
До и после
р.
р.
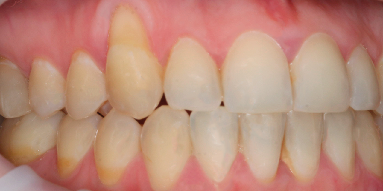
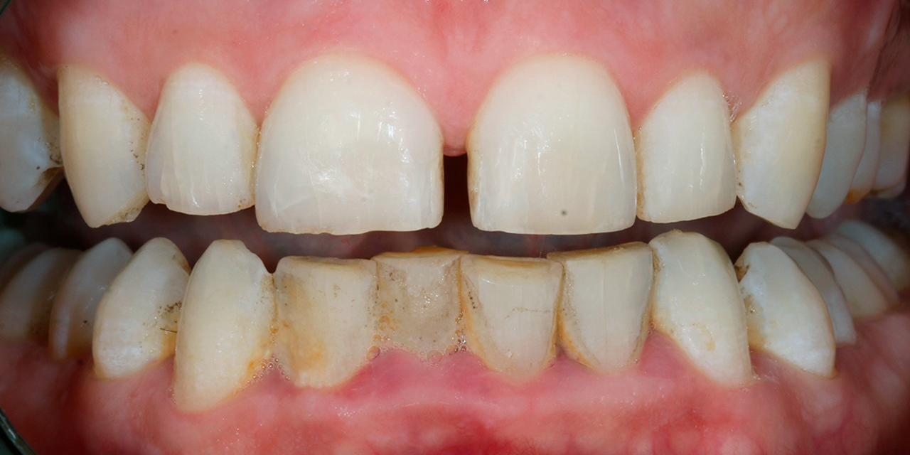
Проведена коррекция индивидуальной гигиены, профессиональная гигиена и закрытый кюретаж. Осмотр после пародонтологического лечения через 3 недели. Далее для поддержания ремиссии проведение профессиональной гигиены каждые 3-4 месяца
До и после
р.
р.
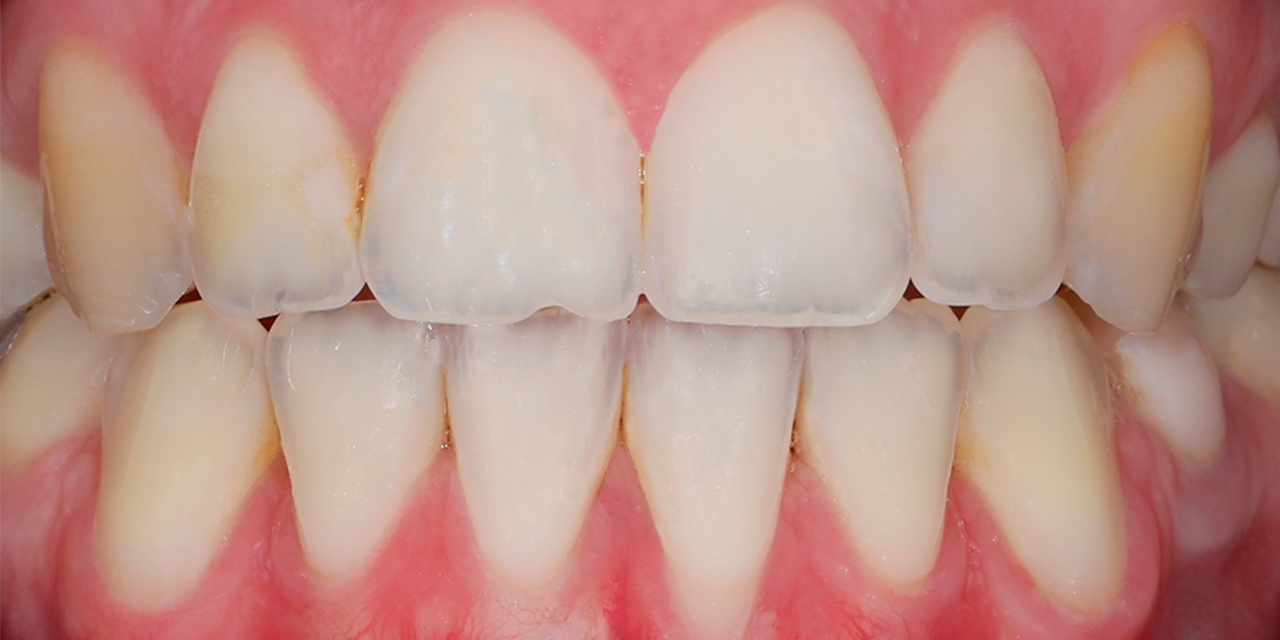
Тонкий биотип десны, патологическое прикрепление уздечки нижней губы. Рецессия II класс по Миллеру (до переходной складки). Проведена пластика десны (туннельный метод) с использованием трансплантата с неба. Со швами пациент входила 12 дней. Фото через 2 месяца после пластики десны. Будет плановая повторная пластика десны (2 этап) для полного закрытия оголенного корня
До и после
р.
р.
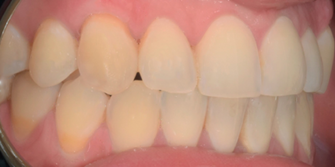
Рецессия II класс по Миллеру, тонкий биотип десны. Проведена пластика десны с использованием трансплантат КТ с неба. Снятие швов через 12 дней. Стабильность уже больше 1 года. Пациент раз в пол года приходит на проф. осмотры к врачу